
Encompassing a broad range of vital subject matter, our video independent learning courses and “Sessions with the Experts” series are designed and created to make you a proficient appliance therapy provider. Written by and featuring outstanding clinicians, these informative, concise educational tools will serve to sharpen and augment your skill sets in specialized areas such as banding and bracketing and removable appliance adjustment.
Anterior Lap Spring Adjustment
How to do an Anterior Lap Spring Adjustment.
Apron Spring Labial Bow Adjustment
How to Adjust the Apron Spring Labial Bow.
Ball Clasp Adjustment
How to do the Ball Clasp Adjustment.
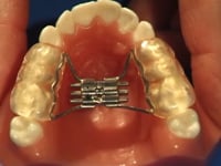
Bonded RPE Adjustment
How to do a Bonded RPE Adjustment
Cuspid Eruption Spring Adjustment
How to do the Cuspid Eruption Spring Adjustment
Cuspid Retraction Spring Adjustment
How to do a Cuspid Retraction Spring Adjustment
Delta Clasp Adjustment
How to do a Delta Clasp Adjustment
Finger Clasp Adjustment
How to do a Finger Clasp Adjustment
Flat Labial Bow Adjustment
How to do Flat Labial Bow Adjustment
Forced Eruption Spring Adjustment
How to do the Forced Eruption Spring Adjustment
Gurin Lock Adjustment
How to do a Gurin Lock Adjustment
Lower Appliance Lingual Acrylic Adjustment
How to do a Lower Appliance Lingual Acrylic Adjustment
Labial Bow Adjustment
How to do a Labial Bow Adjustment
Kicker Spring Adjustment
How to do a Kicker Spring Adjustment
Lingual Retention Clap Adjustment
How to do a Lingual Retention Clap Adjustment
Micro Screw Adjustments
How to do Micro Screw Adjustments