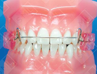
Cheek biting can be habitual or due to an improper occlusal relationship. Buccal shields can be used to prevent the habit of sucking or chewing of the cheeks. While it may not address the underlying cause of the problem, the appliance is useful in controlling the habit and allowing the tissues to heal.
Note - It is essential to take impressions that reach into the vestibule to properly design and place the buccal shields.











